• California Rehabilitation Institute - California Rehabilitation Institute Logo

    California Rehabilitation Institute - California Rehabilitation Institute Logo

    456*457

    1

    1

  • The Tvr Program Is The Result Of A Federal Law, The - Vocational Rehabilitation Disabled People

    The Tvr Program Is The Result Of A Federal Law, The - Vocational Rehabilitation Disabled People

    800*598

    1

    1

  • Brooks Rehabilitation Blue Logo - Brooks Rehabilitation Logo

    Brooks Rehabilitation Blue Logo - Brooks Rehabilitation Logo

    1492*516

    1

    1

  • Physical Medicine And Rehabilitation Center - Physical Medicine And Rehabilitation

    Physical Medicine And Rehabilitation Center - Physical Medicine And Rehabilitation

    1600*1568

    0

    0

  • Information And Services To Treat Drug And Alcohol - Drug Rehabilitation

    Information And Services To Treat Drug And Alcohol - Drug Rehabilitation

    965*449

    1

    1

  • Pasig River Rehabilitation Commission Logo

    Pasig River Rehabilitation Commission Logo

    342*357

    1

    1

  • Pollination Systems Used As Data Base For The Analysis - Cardiopulmonary Rehabilitation

    Pollination Systems Used As Data Base For The Analysis - Cardiopulmonary Rehabilitation

    850*435

    1

    1

  • Free Icons Png - Physical Medicine And Rehabilitation Symbol

    Free Icons Png - Physical Medicine And Rehabilitation Symbol

    369*400

    1

    1

  • Spine Surgeons Nebraska, Minimally Invasive Back Surgery - Sunnyview Rehabilitation Hospital Logo

    Spine Surgeons Nebraska, Minimally Invasive Back Surgery - Sunnyview Rehabilitation Hospital Logo

    2441*1608

    1

    1

  • Search Form - Psychiatric Rehabilitation Association

    Search Form - Psychiatric Rehabilitation Association

    600*200

    1

    1

  • Vocational Rehabilitation By Jain Holmes

    Vocational Rehabilitation By Jain Holmes

    1200*344

    1

    1

  • Gadget Diggers - Renfrew Chiropractic & Rehabilitation Centre

    Gadget Diggers - Renfrew Chiropractic & Rehabilitation Centre

    900*900

    1

    1

  • Lg Tiny » Lg Tiny - Encompass Health Rehabilitation Hospital Logo

    Lg Tiny » Lg Tiny - Encompass Health Rehabilitation Hospital Logo

    500*250

    1

    1

  • One Of Petersen Health Care Communities Located In - Arcola Health And Rehabilitation Center

    One Of Petersen Health Care Communities Located In - Arcola Health And Rehabilitation Center

    675*609

    1

    1

  • #pinkbegonia Hashtag On Twitter - Christus St. Michael Rehabilitation Hospital

    #pinkbegonia Hashtag On Twitter - Christus St. Michael Rehabilitation Hospital

    1080*1080

    1

    1

  • Image - Drug Rehabilitation

    Image - Drug Rehabilitation

    372*347

    1

    1

  • Es6 - Powerback Rehabilitation

    Es6 - Powerback Rehabilitation

    1024*358

    0

    0

  • Our Efforts Aim At Embedding Our Knowledge In Robotics - Rehabilitation Robot

    Our Efforts Aim At Embedding Our Knowledge In Robotics - Rehabilitation Robot

    2162*1729

    0

    0

  • Winter Wizards Ii - Negros Occidental Drug Rehabilitation Foundation

    Winter Wizards Ii - Negros Occidental Drug Rehabilitation Foundation

    699*700

    0

    0

  • Home Health And Social Care - Contec08a Automatic Digital Blood Pressure Monitor

    Home Health And Social Care - Contec08a Automatic Digital Blood Pressure Monitor

    517*595

    1

    1

  • Robbie Davis, 45, Has Been Training Professional Athletes

    Robbie Davis, 45, Has Been Training Professional Athletes

    1397*2100

    1

    1

  • Download The Free Rehabilitation Act White Paper - White Paper

    Download The Free Rehabilitation Act White Paper - White Paper

    680*588

    1

    1

  • Vicoprofen Addiction And Rehabilitation - Side Effect

    Vicoprofen Addiction And Rehabilitation - Side Effect

    815*441

    1

    1

  • The National Veterans Wheelchair Games Is The Largest

    The National Veterans Wheelchair Games Is The Largest

    500*500

    1

    1

  • This Organization Sets Industry Standards For The Assessment, - Semana Nacional De Ciencias E Tecnologia 2013

    This Organization Sets Industry Standards For The Assessment, - Semana Nacional De Ciencias E Tecnologia 2013

    564*777

    1

    1

  • Rehabilitative Care Alliance - Senior Citizen

    Rehabilitative Care Alliance - Senior Citizen

    906*623

    1

    1

  • More Than 10,500 Disabled People Used Our Physical - Disability

    More Than 10,500 Disabled People Used Our Physical - Disability

    557*557

    1

    1

  • Contact Greenfield Rehabilitation Agency - Bay Port Wi Map

    Contact Greenfield Rehabilitation Agency - Bay Port Wi Map

    780*794

    0

    0

  • Job A Palooza Is Sponsored By The Division Of Vocational

    Job A Palooza Is Sponsored By The Division Of Vocational

    1024*791

    0

    0

  • Advances In Suits For Industry “will Speed The Development - Research

    Advances In Suits For Industry “will Speed The Development - Research

    700*1422

    0

    0

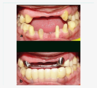
  • Pre Rehabilitation View And (b) Intraoral View Post

    Pre Rehabilitation View And (b) Intraoral View Post

    744*676

    0

    0

  • Cognitive Rehabilitation Could Improve Brain Function - Brain Function

    Cognitive Rehabilitation Could Improve Brain Function - Brain Function

    962*839

    0

    0

  • Physical Medicine And Rehabilitation Health Care Physical - Clip Art Physical Therapy

    Physical Medicine And Rehabilitation Health Care Physical - Clip Art Physical Therapy

    1569*2089

    0

    0

  • Crack Cocaine Addiction And Rehabilitation Detox To

    Crack Cocaine Addiction And Rehabilitation Detox To

    815*441

    0

    0

  • Krokodil Addiction And Rehabilitation Detox To Rehab - Cartoon

    Krokodil Addiction And Rehabilitation Detox To Rehab - Cartoon

    815*439

    0

    0

  • River View Health & Rehab Center

    River View Health & Rehab Center

    1195*900

    0

    0

  • Out Of The 101 Local Government Units Within The Islands - Solid Waste Png

    Out Of The 101 Local Government Units Within The Islands - Solid Waste Png

    825*550

    0

    0

  • Happy New Year ~ Snyder Pt - Wallpaper

    Happy New Year ~ Snyder Pt - Wallpaper

    1090*628

    0

    0

  • For 46 Years, Old House Journal Has Been Helping People - Circle

    For 46 Years, Old House Journal Has Been Helping People - Circle

    3028*664

    0

    0

  • Free Ultimate Guide To Emotional Rehabilitation After - Smartphone

    Free Ultimate Guide To Emotional Rehabilitation After - Smartphone

    1824*1388

    0

    0

  • Addiction Rehabilitation For Men At Windward Way Recovery - Watercolour Yoga Day

    Addiction Rehabilitation For Men At Windward Way Recovery - Watercolour Yoga Day

    1443*1375

    0

    0

  • Svrc Sports & Veterinary Rehabilitation Clinic Logo

    Svrc Sports & Veterinary Rehabilitation Clinic Logo

    652*638

    0

    0